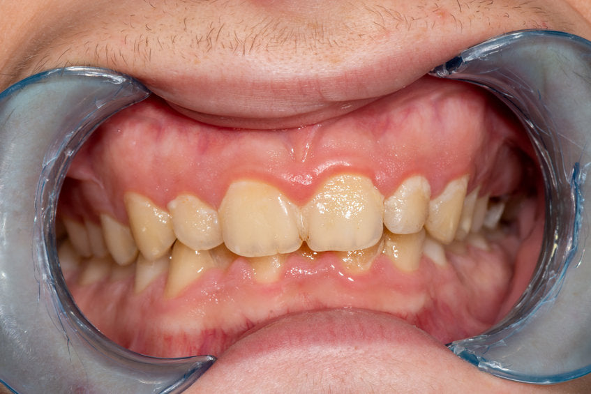
Bleeding Gums, Not A Problem?!

Do you notice your gums bleed every time you brush and especially when you do floss?
Does this seem normal to you?
What if your nose or your fingers bled every day or when you touched them? Would that seem normal to you?
Bleeding gums are not normal and just like you would be concerned if your nose or fingers bled when you touched them, your bleeding gums should not feel like a normal situation.
Bleeding gums are a sign of inflammation in your mouth. Inflammation in your mouth leads to inflammation in your body and inflammation in your body leads to other systemic diseases.
Just because your gums are bleeding today does not mean that you will have other systemic diseases tomorrow but year after year of inflammation in your mouth will lead to other diseases such as: heart attack stroke, high blood pressure, diabetes, high cholesterol, rheumatoid arthritis and even Alzheimer’s.
Bottom line, what happens in your mouth, gets into your body, and will eventually cause harm to the other parts of your body.
Keep reading to learn tips and tricks to prevent bleeding gums. You may learn a few things to help you save money (dentist and medial bills) and also a few tips about how you can live a longer and healthier life!
What are Symptoms of Gum Disease?
- Red, puffy, tender gums
- Gums easily bleed
- Receding gums (teeth look long)
- Halitosis (Bad breath)
- Bad taste in your mouth (consistent)
- Pus or fluid around your teeth and gums
- Loose teeth (not caused by injury)
Treatment of Gum Disease
If you do notice any of the above symptoms it’s important to schedule a dental appointment. Schedule a comprehensive exam that also includes a complete gums exam, full series of x-rays (this looks at the bone around your teeth which hold your teeth in place), and an appointment with a registered dental hygienist who specializes in treatment and prevention of gum disease.
If your gums are healthy and if you don’t have any bone loss on your x-rays, then a preventive care, “cleaning” is most likely all you need to “prevent” future gum disease.
If your dentist and the dental hygienist do discover you have gum disease know that treating gum disease sooner than later, provides hope to halt future destruction of the bone which holds your teeth in place.
A registered dental hygienist is specially trained to treat gum disease and most dental hygienists have various tools to treat the disease and get patients into a stage of remission.
These special tools include but are not limited to ultrasonics, lasers, and antimicrobials (knocks out those bad bugs that caused the disease in the 1st place!).
1Another great treatment for eliminating inflammation is the Celebrity Smiles LED red light. The Celebrity Smiles whitening mouthpiece includes 32 LED red lights and when worn for a few days consecutively they will help heal the inflammation in our gums.
The Celebrity Smiles whitening gel includes Carbamide Peroxide which slowly breaks down into hydrogen peroxide. Hydrogen Peroxide is an antiseptic and if used properly it will help heal.
* Think healing of mouth sores, inflamed gums and even canker sores.
Note: Hydrogen Peroxide can cause tooth sensitivity and we have included Potassium Nitrate Fluoride to reduce the chances of any tooth sensitivity when whitening your teeth with Celebrity Smiles products.
Once you have gum disease you always have the chance that it will become an active disease again at some point in the future. This means that returning for routine preventive care with a dental hygienist is imperative.
Always follow the recommendations of your dentist and dental hygienist for proper home care and routine dental appointments.
Health Eating Habits
Consuming a healthy diet is vital to a healthy mouth and body. Whole foods, less sugar and lack of carbonated drinks are very important for a healthy diet. Sugar in your diet contributes to inflammation in your body and it will also cause cavities more easily.
Click on the image above to see a video of proper floss technique.
Oral Home Care
Oral home care is a crucial part of a healthy mouth and a healthy body. Brushing after breakfast is important and even more importantly, is brushing before you go to bed.
When you sleep your salivary glands do not secrete as much saliva as during the day. A dry oral environment means more chance for those bugs in your mouth to do damage to your teeth. A dry mouth an also cause gum disease.
Be sure you use a soft toothbrush. The best toothbrushes according to dental research is a power toothbrush. Feel free to email Founder of Celebrity Smiles, Dental Hygienist, Debbie Bittke, and ask which toothbrush she recommends you use.
“Only floss the teeth you want to keep!”
Using a toothbrush does not mean you get all surfaces of your teeth clean. Nothing will reach in between your teeth like dental floss.
Should you floss before or after you brush your teeth?
A simple answer is floss either before or after. Most importantly, FLOSS!
As a dental hygienist, I believe you should floss 1st because flossing loosens the plaque and bacteria. Then you brush to get rid of all the plaque and bacteria. Most importantly, floss every day!
Another Cause of Gum Disease
Stress can also cause gum disease. Do what you can to REEELAX.
Think about what makes you happy. Think about what you enjoyed as a child and try to go back to living those experiences that made you happy.
As a young girl, I loved playing tennis! For me, tennis makes me happy and when I feel happy I am more relaxed. Any type of exercise makes me feel good. Exercise can give you a great endorphin (natural) high so I highly recommend that if you feel stressed; move!
Conclusion
Prevention costs less money that treating disease. Treating disease not only costs more money but it also takes time to treat.
See your dentist and dental hygienist routinely and use the Celebrity Smiles teeth whitening gel with the LED lights to help keep a healthy mouth which will lead to a healthier body.
Last task for you today is to share your confident, beautiful smile!
References.
- Red LED lights: https://wb.md/3lGAFLW
- Blue LED lights: https://bit.ly/LEDBLUELITE